2025年4月11日清晨,广东医科大学附属第三师图木舒克市总医院胸痛中心响起刺耳的警报声—— 一名65岁的女性患者因突发胸痛被紧急送医,却在检查时突然失去意识,心电图显示“心室颤动”,心脏陷入致命的“电风暴”。

生死一线:室颤突袭,争分夺秒
“快!心肺复苏!准备电除颤!”急诊科医护团队瞬间进入战斗状态。持续的胸外按压、200焦耳电击除颤……经过惊心动魄的抢救,患者终于恢复了心跳,为后续治疗赢得了最关键的时间窗口。

致命威胁:急性心梗为何如此凶险?
急性前壁心肌梗死,被称为“心脏的隐形杀手”。一旦左前降支血管完全堵塞,大面积心肌缺血会瞬间引发恶性心律失常,患者可能在几分钟内从胸痛发展为室颤甚至猝死。数据显示,这类患者24小时内室颤发生率高达20%,而90%的心梗猝死案例都源于室颤。
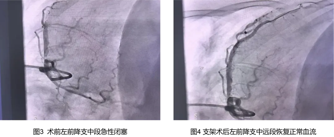
3
这场生命奇迹的背后,是胸痛中心“多学科协作+标准化流程”的高效运转:
1.10分钟锁定危机:患者到院后,10分钟内完成首份心电图,迅速识别高危胸痛。
2.1分钟电击除颤:室颤发生后,1分钟内完成首次电击,心肺复苏持续不断。
3.90分钟开通血管:抢救成功后,介入团队火速进行心脏支架手术,90分钟内打通闭塞血管,恢复血流。

4
终极武器:心脏支架手术力挽狂澜在稳定患者心律后,心血管介入团队发现其左前降支中段完全闭塞,血栓严重。通过球囊扩张、药物溶栓和支架植入,血流终于恢复畅通。“这类患者每一秒都是生死较量,既要抢时间开通血管,又要严防二次室颤。”援疆专家沈白医生强调。
如果您遇到以下这种情况,不要犹豫,请立即就医!
持续胸痛超过15分钟,含服硝酸甘油无效
伴随冷汗、恶心、呼吸困难
突发意识丧失或心悸
时间就是心肌,心肌就是生命!这场生命保卫战,是医护人员、急救体系和公众意识共同作用的结果。从院前急救到导管室,每一环的精准配合,都为患者抢回了生机。
健康提醒:若您或身边人出现高危胸痛,请立即拨打120!早一秒识别,多一分希望!